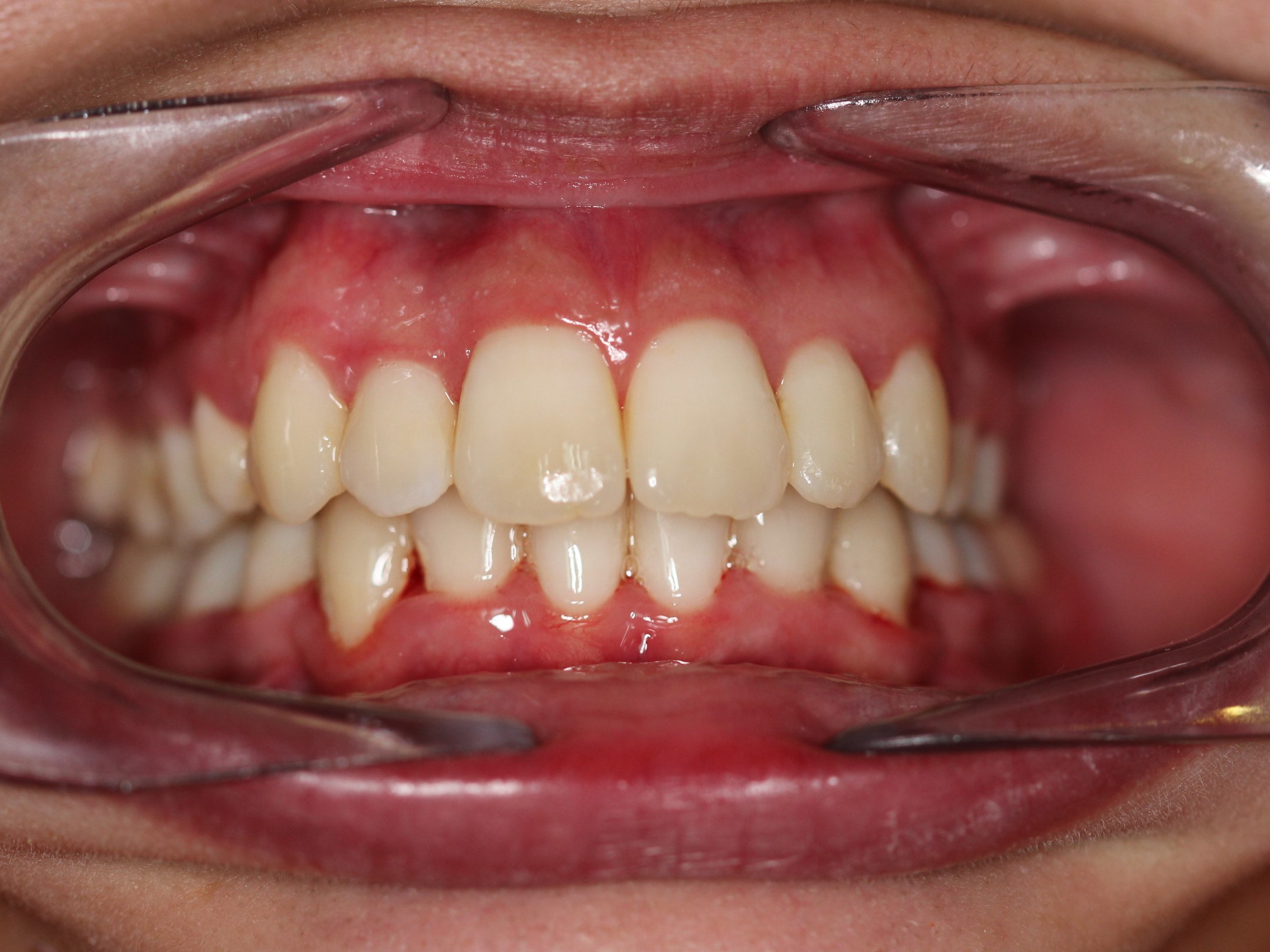
Antes
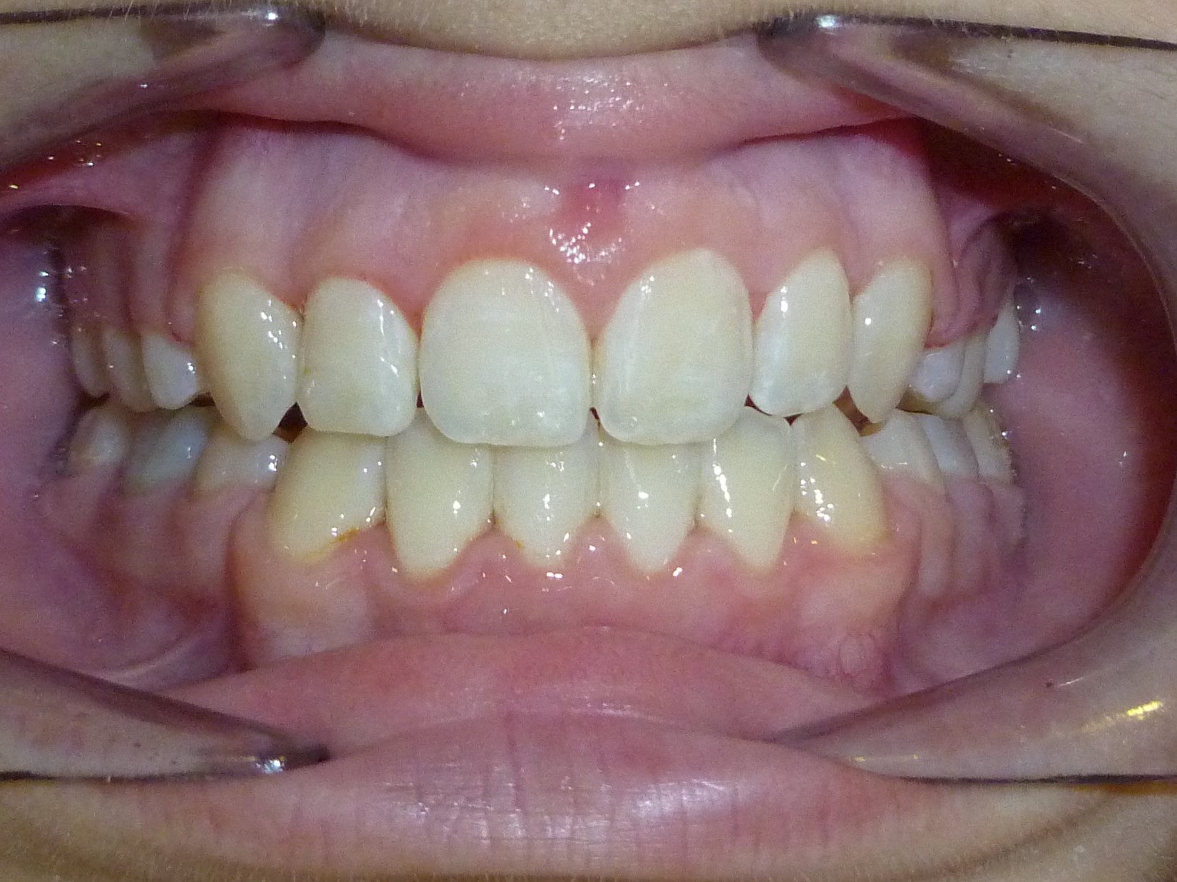
Después
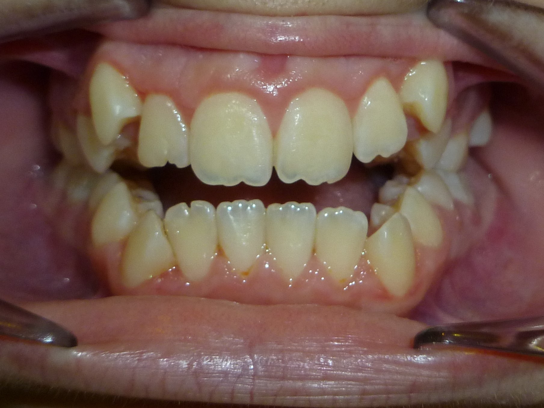
Antes
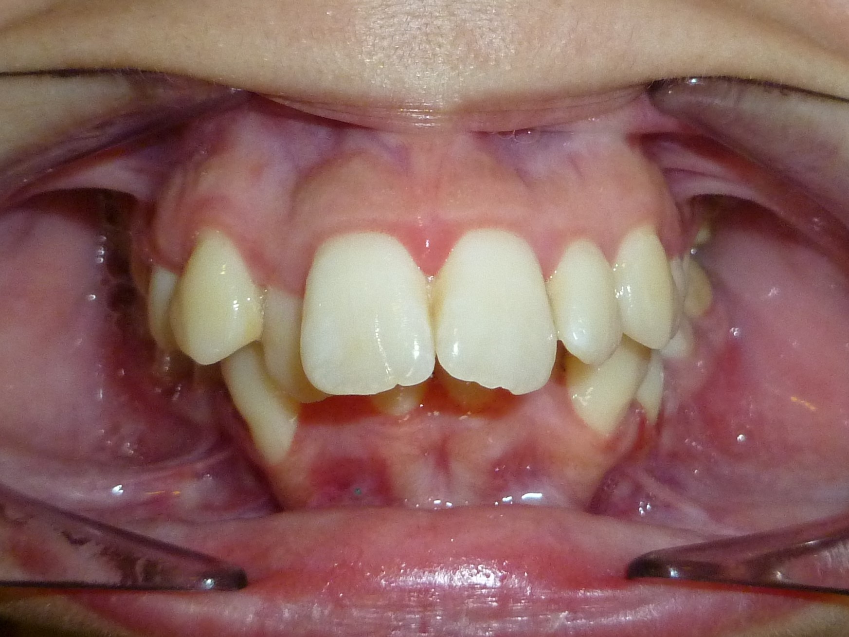
Después
Antes
Después
Antes
Después

